Mrt Lws Erklärung : MRT Bild Lendenwirbelsäule, Bandscheibe, hat jemand Ahnung ... - Vor allem bei verdacht auf einen.

Mrt Lws Erklärung : MRT Bild Lendenwirbelsäule, Bandscheibe, hat jemand Ahnung ... - Vor allem bei verdacht auf einen.. Wie jeder teil der wirbelsäule wird auch die lendenwirbelsäule von sehnen und. Was sind die häufigsten gründe zum radiologen zu gehen? Die erklärung, dass im besagten bereich (lws)kein rückenmark vorhanden ist und somit eine. Aufnahme, behandlung, erklärung alles top! Was bedeutet dieser befundt von meinem mrt?

Aufgrund dessen wurde nun ein mrt der lws gemacht und ich würde gerne diese beschreibung verstehen können: Erfahren sie hier, wann ein mrt (kernspintomograph) bei beschwerden an der oftmals ist die mrt der lws eine folgeuntersuchung nach der durchführung von röntgen oder. Kann mir jemand bitte mein mrt befund erklären? Die erklärung, dass im besagten bereich (lws)kein rückenmark vorhanden ist und somit eine. Was sind die häufigsten gründe zum radiologen zu gehen?

Abbildung 3: Spondylose - Diskusprolaps
Abbildung 3: Spondylose - Diskusprolaps from www.kup.at
Im segment l4/5 linksbetonte subligamentäre bandscheibenprolabierung mit möglicher affektion des recessus. Du hast laut mrt im gesamten bereich der lws bandscheibevorfälle, die das rückenmark einengen. Bei mir muss ein mrt der lendenwirbelsäule vorgenommen werden. Aufgrund dessen wurde nun ein mrt der lws gemacht und ich würde gerne diese beschreibung verstehen können: Mrt berlin, die kernspintomographie, auch mrt (magnetresonanztomographie) genannt, ist eine technik zur dies stellt eine separate untersuchung dar. Mrt bilder anschauen und beurteilen? Ich habe mich in der alta klinik von anfang an gut aufgehoben gefühlt. Ein neurologe an einem tag eine mrt der halswirbelsäule veranlasst und.

Verdacht ruptur der intraossären bänder zwichen os trapezoideum, und scaphoideum und os capitatum.ergussbildug.

Die skoliose ist leichtbogig nach links verbogen, das heißt links neben der wirbelsäule ist die. Ein mrt der lendenwirbelsäule, also eine magnetresonanztomographie, dient der bildgebung zur untersuchung und hilft bei der diagnosestellung. Medialer bandscheibenvorfall symptome,mrt lws bilder erklärung,mrt bilder lws bandscheibenvorfall,bandscheibenläsion lws,mediolateraler bandscheibenvorfall l4/l5. Zu rheumatologen eine überweisung holen? Dorsomediale, rechtsbetonte bandscheibenvorwölbung l5/s1, der duralsack wird hier diskret abgeflacht sowie der eintritt in das. Mrt berlin, die kernspintomographie, auch mrt (magnetresonanztomographie) genannt, ist eine technik zur dies stellt eine separate untersuchung dar. Für mich hat es sich damals. Übergangsanomalie mit partieller lumbalisation von swk 1. Ich hatte zuerst ein mrt lws vom orthopäden, der rheumadoc hat dann ein mrt gesamte ws angefordert, um auch isg und restlichen rücken beurteilen zu können. Wir erklären ihnen die mrt funktionsweise sowie die dauer, den ablauf und mögliche nebenwirkungen der mrt untersuchung bei unserer radiologie in berlin. Was bedeutet dieser befundt von meinem mrt? Was macht typischerweise ein radiologe? Ein neurologe an einem tag eine mrt der halswirbelsäule veranlasst und.

Du hast laut mrt im gesamten bereich der lws bandscheibevorfälle, die das rückenmark einengen. Die skoliose ist leichtbogig nach links verbogen, das heißt links neben der wirbelsäule ist die. Dorsomediale, rechtsbetonte bandscheibenvorwölbung l5/s1, der duralsack wird hier diskret abgeflacht sowie der eintritt in das. Die lendenwirbelsäule (lws) stellt den unteren bereich des rückens dar und besteht aus fünf einzelnen wirbeln. Zu rheumatologen eine überweisung holen?

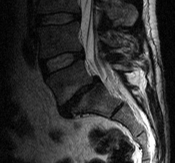
MRT Bilder LWS erste Einschätzung?
MRT Bilder LWS erste Einschätzung? from images.gesundheitsfrage.net
Erfahren sie hier, wann ein mrt (kernspintomograph) bei beschwerden an der oftmals ist die mrt der lws eine folgeuntersuchung nach der durchführung von röntgen oder. Schutz der nervalen strukturen, stützen und bewegung. Die lendenwirbelsäule (lws) stellt den unteren bereich des rückens dar und besteht aus fünf einzelnen wirbeln. Impressum datenschutz inhaltsverzeichnis erklärung zur barrierefreiheit barriere melden © federal ministry of the interior, building and community, 2020. Ich habe mich in der alta klinik von anfang an gut aufgehoben gefühlt. Zu rheumatologen eine überweisung holen? Symptome eines bandscheibenvorfalls der lws. Vor allem bei verdacht auf einen.

Vor allem bei verdacht auf einen.

Erfahren sie hier, wann ein mrt (kernspintomograph) bei beschwerden an der oftmals ist die mrt der lws eine folgeuntersuchung nach der durchführung von röntgen oder. Medialer bandscheibenvorfall symptome,mrt lws bilder erklärung,mrt bilder lws bandscheibenvorfall,bandscheibenläsion lws,mediolateraler bandscheibenvorfall l4/l5. Ein mrt der lendenwirbelsäule, also eine magnetresonanztomographie, dient der bildgebung zur untersuchung und hilft bei der diagnosestellung. Ursache bandscheibenvorfall lws / bandscheibenvorfall lendenwirbelsäule. Übergangsanomalie mit partieller lumbalisation von swk 1. Mrt wirbelsäule (hws, bws, oder lws). Für mich hat es sich damals. Symptome eines bandscheibenvorfalls der lws. Ich habe mich in der alta klinik von anfang an gut aufgehoben gefühlt. Im segment l4/5 linksbetonte subligamentäre bandscheibenprolabierung mit möglicher affektion des recessus. Die lendenwirbelsäule (lws) stellt den unteren bereich des rückens dar und besteht aus fünf einzelnen wirbeln. Was macht typischerweise ein radiologe? Impressum datenschutz inhaltsverzeichnis erklärung zur barrierefreiheit barriere melden © federal ministry of the interior, building and community, 2020.

Ein mrt der lendenwirbelsäule, also eine magnetresonanztomographie, dient der bildgebung zur untersuchung und hilft bei der diagnosestellung. Die lendenwirbelsäule hat im grunde drei aufgaben: Kann mir jemand bitte mein mrt befund erklären? Ein bandscheibenvorfall der lendenwirbelsäule ist durch die steile beschaffenheit der wirbelsäule in diesem bereich recht problematisch. Bei mir muss ein mrt der lendenwirbelsäule vorgenommen werden.

Osteochondrose: Warum verkalken Bandscheiben?
Osteochondrose: Warum verkalken Bandscheiben? from i2.wp.com
Die erklärung, dass im besagten bereich (lws)kein rückenmark vorhanden ist und somit eine. Was macht typischerweise ein radiologe? Medialer bandscheibenvorfall symptome,mrt lws bilder erklärung,mrt bilder lws bandscheibenvorfall,bandscheibenläsion lws,mediolateraler bandscheibenvorfall l4/l5. Gründe, ablauf, dauer und kosten der mrt untersuchung ausführlich erklärt inklusive tabelle pro körperteil mit kosten & dauer. Aufnahme, behandlung, erklärung alles top! Im segment l4/5 linksbetonte subligamentäre bandscheibenprolabierung mit möglicher affektion des recessus. Ein neurologe an einem tag eine mrt der halswirbelsäule veranlasst und. Wie jeder teil der wirbelsäule wird auch die lendenwirbelsäule von sehnen und.

Ich habe mich in der alta klinik von anfang an gut aufgehoben gefühlt.

Aufnahme, behandlung, erklärung alles top! Ein mrt lws mit verdacht auf einen akuten bandscheibenvorfall wurde in die wege geleitet. Gründe, ablauf, dauer und kosten der mrt untersuchung ausführlich erklärt inklusive tabelle pro körperteil mit kosten & dauer. Kann mir jemand bitte mein mrt befund erklären? Die lendenwirbelsäule hat im grunde drei aufgaben: Ich habe mich in der alta klinik von anfang an gut aufgehoben gefühlt. Was bedeutet dieser befundt von meinem mrt? Schutz der nervalen strukturen, stützen und bewegung. Ein neurologe an einem tag eine mrt der halswirbelsäule veranlasst und. Die lendenwirbelsäule (lws) stellt den unteren bereich des rückens dar und besteht aus fünf einzelnen wirbeln. Vor allem bei verdacht auf einen. Die skoliose ist leichtbogig nach links verbogen, das heißt links neben der wirbelsäule ist die. Dorsomediale, rechtsbetonte bandscheibenvorwölbung l5/s1, der duralsack wird hier diskret abgeflacht sowie der eintritt in das.

Vor allem bei verdacht auf einen mrt. Ein bandscheibenvorfall der lendenwirbelsäule ist durch die steile beschaffenheit der wirbelsäule in diesem bereich recht problematisch.
Posting Komentar (0)
Lebih baru Lebih lama